Planmeca CORE™ ist ein brandneuer zahnmedizinischer Bildgebungsalgorithmus, der perfekte, detaillierte Panoramaaufnahmen liefert. Mit drei verfügbaren Stärkeoptionen können die Benutzer die Vorbearbeitung der Aufnahmen nach ihren Wünschen anpassen. Der Algorithmus ist jetzt für die SmartPan™-Aufnahmen der Bildgebungseinheiten Planmeca Viso® und Planmeca ProMax® 3D verfügbar.
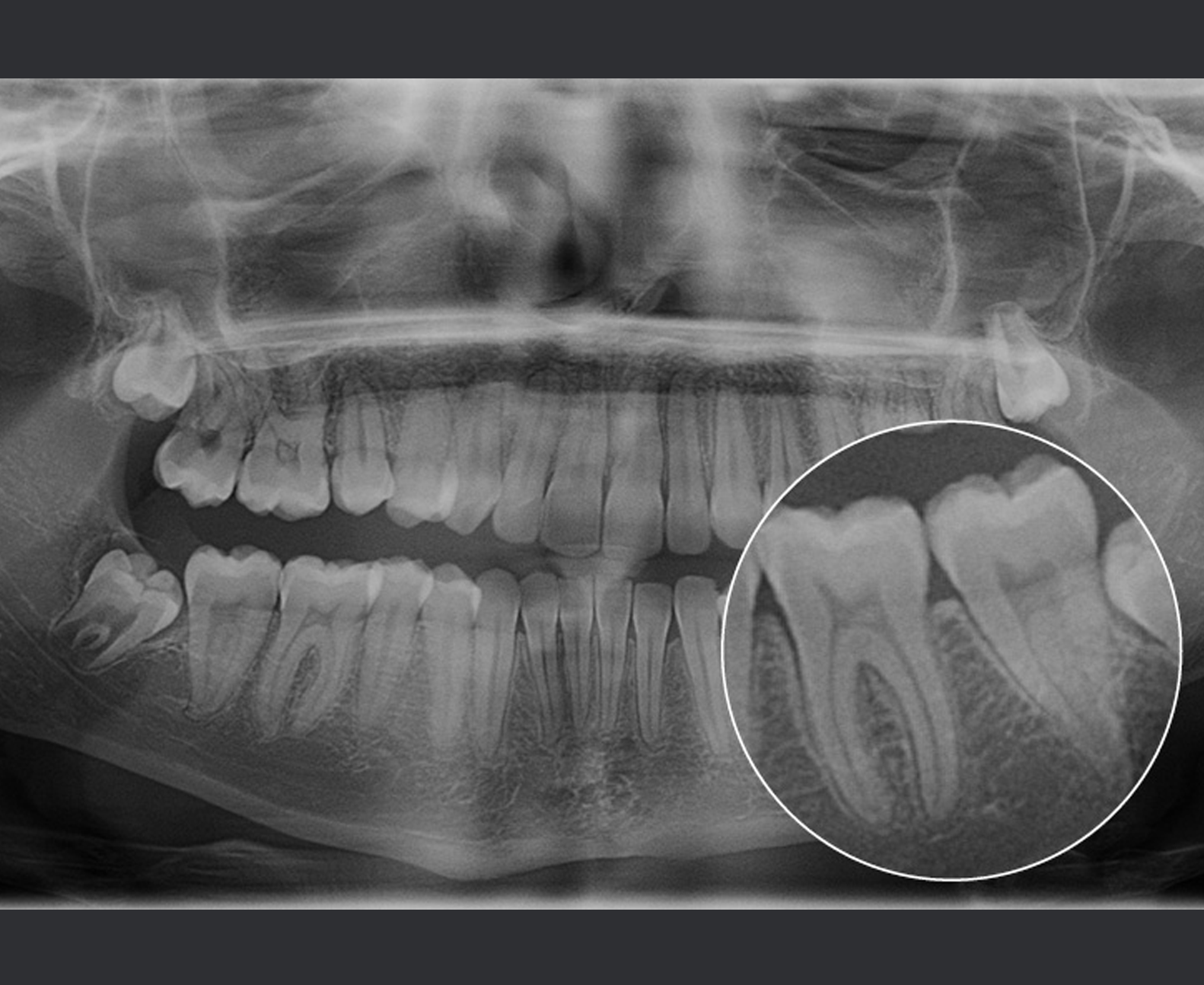
Der Algorithmus Planmeca CORE verbessert den Kontrast und die Details von Panoramaaufnahmen, die mit dem SmartPan-Bildgebungssystem der Bildgebungsgeräte Planmeca Viso und Planmeca Promax 3D aufgenommen werden. Mit Planmeca CORE lassen sich wertvolle Details wie PDL und Lamina dura deutlicher erkennen.
Unabhängig davon, ob der Patient bzw. die Patientin Implantate oder Zahnfüllungen trägt, sind dank Planmeca CORE alle Oberflächen auf den Panoramaaufnahmen deutlich zu erkennen. Der Algorithmus reduziert Artefakte, die durch Metalle oder dichte Materialien entstehen, und sorgt so für optimale Ergebnisse und klare Sichtbarkeit.
Auf den mit Planmeca CORE aufgenommenen Panoramaaufnahmen sehen alle Knochenstrukturen natürlich aus, und die verschiedenen Arten von Knochenstrukturen lassen sich gut voneinander unterscheiden. Mögliche Veränderungen, Anomalien oder Frakturen in den Knochenstrukturen sind selbst dann zu erkennen, wenn sie sich mit den Atemwegen überschneiden. So lassen sich beispielsweise Kiefergelenke, Ramus und die unteren Ränder der Kieferhöhle gut erkennen.
Planmeca CORE enthält drei Optionen für die Vorbearbeitungsstärke, aus denen Sie wählen können. Mit diesen Optionen können Sie die Darstellung der Panoramaaufnahmen ganz einfach nach Ihren Präferenzen anpassen.
Niedrige Vorbearbeitungsstärke
Mittlere Vorbearbeitungsstärke
Hohe Vorbearbeitungsstärke
